
Personalized care with a warm interaction with the patient
- Achieving outstanding success rates through our dedicated care approach.
- Equipped with the latest technology to ensure optimal treatment outcomes.
- Our expert team provides exceptional healthcare with experience.
- Offering 24/7 assistance for your health needs and concerns.
- Providing quality treatment at reasonable costs for every patient.
- Contact us Email ID:Info@cardiacsurgeryindia.com
- Call us: +91 9029304141
Birmingham Hip Resurfacing or Surface Replacement Arthroplasty is a bone-conserving alternative to conventional Total Hip Replacement (THR). Unlike Total Hip Replacement, Birmingham hip Resurfacing does not involve the removal of the femoral head and neck or removal of bone from the femur. Rather, the head, neck and femur bone is preserved in an effort to facilitate future surgery should it be necessary and to enable the patient to take advantage of newer technology or treatments in the future. The current generation of hip Resurfacing devices utilize a metal bearings have demonstrated a much higher level of wear resistance as well as reduced bone loss and inflammatory tissue reaction about the hip joint as compared to metal-polyethylene bearings.
Hip Resurfacing surgery is approximately 90 minutes of set up and operating time. There is approximately 1 hour in the recovery room after surgery. Hip resurfacing surgery requires the removal of the diseased bone only. This means, the bone removed is minimized to 4-5mm from the head of the femur and approx 4-5mm from the acetabulum.
The incision is approximately 15-20cm in length and it runs over the outer edge of your hip joint. The scar line may not be completely flat immediately after surgery. This will settle down a few weeks after surgery. The operation itself is performed with the patient of their side. The surgical wound is closed with absorbable sutures.
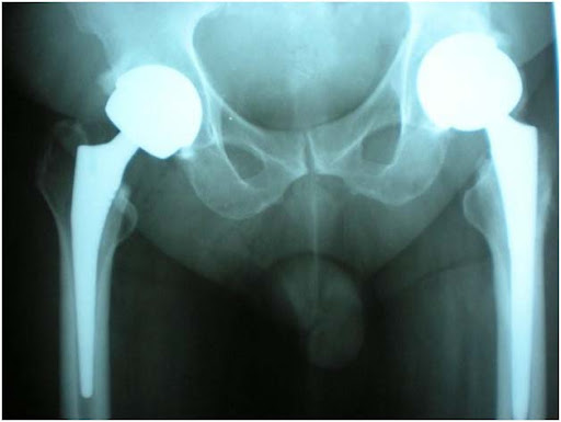
Hip Resurfacing epitomizes medical achievements in arthroplasty. Hip Resurfacing is a new conservative surgical technique of arthroplasty of the hip. In this, only the diseased surface of the head of femur is replaced with a cobalt chromium cap , retaining all the bone in the hip joint. The lining of the socket (acetabulam) is also replaced with the cobachromium cup .This mimics the natural hip closely and has near normal bio-mechanics, load transfer and range of movement.
Birmingham Hip Resurfacing (BHR) Surgery in india
Advantages over conventional prostheses : –
- No noticeable change in leg length or leverage of the hip muscles
- The “feeling” for the joint and the reflexes (proprioception) are retained
- The natural size of the implants allows natural motion in most cases and minimises the risk of dislocation
- The natural load transfer between the pelvis and the femoral head and femur prevents change in bone structure or bone loss and increases bone density.
- The proximal femur is conserved so that optimal conditions exist for all types of prosthesis stems where revision surgery is required

BIRMINGHAM HIP Resurfacing (BHRT) device Surgery in india
The BIRMINGHAM HIP Resurfacing (BHRT) device has two parts: a socket in the shape of a shallow cup (acetabular component), and a cap in the form of a ball head (femoral resurfacing component). The cup replaces the damaged surface of your hip socket (acetabulum). The cap covers the ball-shaped bone at the top of your thigh (femoral head), and the cap has a small stem that is inserted into the top of your thighbone. The cap moves within the cup. The surfaces that rub against each other (the bearing couple) are made from highly-polished metal. This type of bearing couple is called a metal-on-metal bearing couple.
Precautions after BIRMINGHAM HIP Resurfacing System Surgery in india
The first six to 12 months after a BIRMINGHAM HIP Resurfacing System operation are the most vulnerable for the new hip joint. You’ll want to try out your new resurfaced hip. But you’ll also want to be smart, and take it slowly. Avoid heavy lifting and high-impact activities like jogging or jumping. Don’t twist or squat. Driving can resume around four to five weeks after hip resurfacing surgery, pending physician approval, as can sexual relations – but try to avoid extreme movements of the hip for around three months.
Some pain is normal during your rehabilitation period, and the pain should slowly decrease in the weeks following surgery. If you experience any serious, constant hip pain or pressure or feeling of unsteadiness, or if you are suddenly unable to put weight on your hip after the early post-operative pain has gone away, you should contact your doctor. These signs (symptoms) may be a signal of a serious problem (such as bone breakage, dislocation, infection, device loosening, movement, or breakage). Any of these problems may require medical attention including additional surgery. Remember to listen to what your body tells you, and what your doctor recommends. If you begin to have pain or swelling, contact your physician for advice.
How is the Birmingham Hip Resurfacing procedure different?
The Birmingham Hip Resurfacing procedure is a bone-conserving technique that uses a two-part all-metal implant. Most importantly, the head of the femur and its’ neck are not removed as occurs in the traditional total hip replacement surgery. Instead, the Birmingham Hip Resurfacing surgery uses specialized tools to resurface the existing bone. The socket is shaped to accept a new cup, and an all-metal (not plastic) cup with a porous surface is inserted. The head of the femur is prepared to receive the new cup. The procedure involves shaving just a few millimeters of bone around the femoral head and a new metal cap is applied. The cap is made of cobalt chrome, a very durable material.
Worldwide, over 80,000 Birmingham Hip Resurfacings have been performed with a ten-year survival rate of over 98 percent. Several facilities offer hip resurfacing, but Fort HealthCare offers the Birmingham Hip Resurfacing System, which is the only system approved by the Food and Drug Administration.
Read Also :-
- Balloon Angioplasty Surgery: Minimally Invasive Heart Care in India
- Surrogacy Agency in India: Professional Guidance for Your Parenthood Journey
- Sigmoidoscopy Surgery in India: Early Detection and Affordable Care for Colon Health
- Advanced Spondylosis Surgery in India: Procedures, Costs & Leading Hospitals
- Shoulder Replacement Surgery in India: Restoring Mobility and Reducing Pain

